一次抗体と二次抗体-抗-エピトープタグ、免疫測定、Cas 9 » Secondary Antibodies
同じ動物種内における一次抗体のFcドメインは一定のため、所定の二次抗体は同じアイソタイプとターゲット動物種のあらゆる一次抗体に使用できます。1種類の二次抗体のみを標識することでコストを抑えます。さらに、二次抗体はシグナル増幅により感度を向上させます。
GenScriptでは、ヤギ、ロバ、マウス、ウサギ、ニワトリおよびヒツジなどの、いくつかの免疫動物の血清から、二次抗体を精製しています。全Ig分子またはFcあるいはFab領域のような抗体フラグメントに特異的な二次抗体が入手可能です。標識二次抗体は様々な免疫学的解析とタンパク質アッセイに使用可能です。
GenScriptはまた、1000を超える特異性の高いモノクローナルおよびポリクローナル一次抗体を提供しています。こちらをクリックし、お客様の目的タンパク質に対する一次抗体をご覧ください。
抗ラクダ科VHHウサギモノクローナル抗体シリーズについての詳細はこちら
| Product Type |
Species Specificity |
Unconjugated | Conjugated | ||||||
|---|---|---|---|---|---|---|---|---|---|
| HRP | Biotin | iFluor 488 |
iFluor 555 |
iFluor 647 |
PE | FITC | |||
| Anti-VHH, mAb |
Llama, Camel, Alpaca |
A01860 | A01861 | A01995 | A01862 | A01863 | A01994 | ||
| Anti-Humanized VHH, mAb |
Humanized, Llama, Camel, Alpaca |
A02165 | A02167 | A02166 | A02168 | A02169 | A02170 | ||
| Anti-VHH, mAb Cocktail |
Llama, Camel, Alpaca |
A02014 | A02016 | A02015 | A02021 | A02020 | A02019 | A02018 | A02017 |
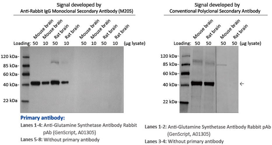
従来のポリクローナル抗体は多くのエピトープを認識し、多くのアッセイにおける高いバックグラウンドおよび交差反応性につながっています。M205はネイティブなウサギIgGに対して特異的で、変性または還元されたウサギIgGの重鎖または軽鎖には反応しません。これは免疫沈降およびウェスタンブロットで理想的なツールです。一次抗体の重鎖および軽鎖の混入も防止できます。

この結果は、抗ウサギIgGモノクローナル二次抗体(M205)が同等の感度で、従来のポリクローナル抗体よりもバックグラウンドノイズが低いことを示している。

抗ウサギIgGモノクローナル二次抗体(M205)(HRP標識、カタログ番号A01827)を使用して、異なる希釈濃度のウサギ一次抗体の検出を行ったところ、M205は保存されたウサギIgGエピトープに結合し、異なるウサギから生成された一次抗体を認識できることを示している。
| カタログ番号 | タンパク質名前 | 納品量 | 価格 | 注文 |
|---|---|---|---|---|
|
A01827
|
Mouse Anti-Rabbit IgG Antibody (M205) [HRP], mAb |
|
- 200 μl |
|
|
A01854
|
Mouse Anti-Human IgG Fc Antibody (50B4A9)[HRP], mAb |
|
- 200 μl |
|
|
A01855
|
Mouse Anti-Human IgG Fab Antibody (12H3C4A6)[HRP], mAb |
|
- 200 μl |
|
|
A01856
|
Mouse Anti-Rabbit IgG Fc Antibody (14H9H10)[HRP], mAb |
|
- 200 μl |
|
|
A02034
|
Mouse Anti-Rabbit IgG Fc Antibody (14H9), mAb |
|
- 200 μl |
|
|
A02128
|
Mouse Anti-Human IgM mu Chain Antibody, mAb |
|
- 200 μl |
|