概要

β-アクチンは同定されている6つの異なるアクチンアイソフォームの一つです、アクチン分子は様々な種と組織の細胞で見られ、免疫学的および物性は非常に類似した傾向があります。結果として、このタンパク質に対する強力な抗血清の生成は困難となっていました。そのためβ-アクチンに対するモノクローナル抗体が利用できることは、細胞内のβ-アクチン分布および細胞骨格の特徴の研究における、有用で特異的なツールを提供します。

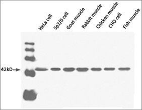
THE™ β-アクチン抗体は、GenScriptが提供する、業界高品質のTHE™ Elite抗体の一つです。THE™ β-アクチン抗体の優れた特異性は、わずか0.8 ngの抗原タンパク質をテストできます。さらにTHE™ β-アクチン抗体は、様々な哺乳動物由来の相当する抗原を認識します。

主な特徴

High Specificity

高い特異性


非特異的な結合なし

High Sensitivity

高感度


わずか0.8 ngの抗原を検出

Clear Background

クリアなバックグラウンド


バックグラウンドがなく、高シグナル

Species Reactivity

種反応性


様々な哺乳動物由来の抗原を認識

Long-term Stability

長期間の安定性


少なくとも2年間安定な凍結乾燥形状

製品の詳細
カタログ番号 タンパク質名前 納品量 価格 注文
A00702
THE™ beta Actin Antibody, mAb, Mouse
-
 
A00730
THE™ beta Actin Antibody [HRP], mAb, Mouse
-
 
事例
関連製品
カタログ番号 タンパク質名前 納品量 価格 注文
A01410
THE™ alpha Tubulin Antibody, mAb, Mouse
- 100 μg
 

見積依頼