GenScriptのBis-Trisプレキャストゲルシリーズは、電気泳動によって広範囲のタンパク質サイズを分離するように設計された高性能ポリアクリルアミドゲルです。ゲルは、ポリアクリルアミドの加水分解を最小限に抑え、ゲルの安定性を高める中性のバッファーで作成されています。また、Tris-glycineゲルと比較してタンパク質への修飾を最小限に抑える中性で泳動します。
GenScriptのゲルシリーズには、プレミアムで高解像度で再現性のあるゲルであるSurePAGE™ゲルと、高品質で非常に費用対効果の高いExpressPlusがあります。
SurePAGE, ExpressPlus™、他社のゲルとの詳細な比較
「私たちの関心分野は発生生物学であり、転写調節、オートファジー、マイトファジー、アポトーシスに関与するタンパク質に関心があります。GenScriptのSurePAGE™プレキャストゲルは、我々の研究ニーズに、安価で質の高いオプションを提供してくれ、ゲルの電気泳動を1時間以上削減してくれた。」
―Pragnya Das, ドレクセル大学, US
SurePAGE™、Bis-Trisゲルは、ExpressPlus™ゲルのメジャーアップグレード品であり、解像度とデータの一貫性が向上しています。
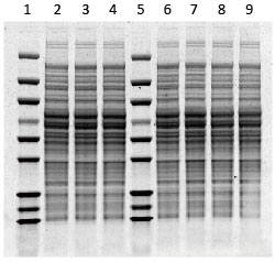
図2:SurePAG™ゲルは、競合他社や自作のTris-Glycineゲルと比較して優れたバンド分解能があります。 レーン1および5:タンパク質マーカー(MM1397)、5 µl。レーン2-4、6-9:10 l大腸菌ライセート。
使用できる他社製タンク
Bio-Rad Mini-PROTEAN® II & 3*
Bio-Rad Mini-PROTEAN® Tetra System*
*使用前に内部電極装置のガスケットを逆にしてください。詳細については、マニュアルをご参照ください。
代替サンプルバッファーは、5x SDSサンプルバッファー(MB01015)です。下図は、SDSサンプルバッファーと比較して、LDSサンプルバッファーがタンパク質サンプルをより高い分解能で分離できることを示しています。
*タンクアダプター(製品番号L00671)は、Invitrogen Novex XCell I、II、およびSurelock®で使用するための製品です。®
SurePAGE™は、ExpressPlus™のメジャーアップグレード品です。 SurePAGE™は、ExpressPlus™ゲルと比較して優れた解像度と安定した品質を提供します。
泳動時間はゲルの濃度に依存します。通常、140Vで約50分かかります。 より高い電圧を使用すると、泳動時間は短縮できますが、180Vを超えることはお勧めしません。
10cm x 8cm(長さx幅)のプレキャストゲルを泳動できる泳動槽であれば問題ありません
はい。 SurePAGE™およびExpressPlus™ゲルは、室温で少なくとも3か月間安定です。 ただし、最高品質を維持するためには2〜8℃で保存することをお勧めします。
SDSバッファーと比較してより高い分離能が得られるのでLDSバッファーの使用をお勧めします
中・高分子量のタンパク質の泳動にはMOPSバッファーを、低分子タンパク質の泳動にはMESバッファーを推奨します。弊社のプレキャストゲルではTris-glycineバッファーは使用できません
Tris-Bicineバッファーを推奨します
ゲル上部のポリアクリルアミドの濃度が濃くなるためです。転写前にこの部分を取り除くことをお勧めします
時と場合によります。オーバーナイトで脱色する場合には15 %メタノール, 10 %酢酸を含む溶液を使用することをお勧めします。