High level of protein expression in E. coli is often accompanied by the accumulation of the target recombinant proteins in insoluble aggregates called Inclusion Bodies (IB). While the exact mechanism of IB formation is not fully understood and may vary with different proteins and expression conditions, it is generally thought that target proteins are being made at such a rapid pace that the cellular translational machinery of E.coli is unable to assist in folding of the protein in its native 3D conformation, hence resulting in misfolding and ultimately, IB formation. These insoluble aggregates are non-functional and create hurdles in the path of researchers. Recovery of the biological activity of the target protein by an in vitro refolding process is a difficult task and is one of the most significant challenges facing a protein biochemist. GenScript's protein refolding services provide a solution to this problem.
Our confidence is backed by our proprietary refolding technology, which includes high-hydrostatic-pressure techniques, small-molecule additives, and column-refolding methods.
Protein refolding services are provided along with our bacterial protein service packages upon request. Over 95% of the inclusion bodies can be solublized and refolded. We provide refolded protein at purity of 85% or greater. The final output is dependent on the total amount of target protein comprising the aggregates. The refolded protein is delivered in customized buffer. The major elements of our protein refolding services include the following procedures:
1. A Protein denaturation and renaturation from inclusion bodies:
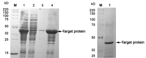
Fig. A-1 (left figure): Inclusion body preparation and denaturation Lane 1: Total protein after sonication Lane 2: The supernatant after centrifugation Lane 3: Washed with 1M urea Lane 4: Dissolved by 8M urea
Fig. A-2 (right figure): Refolded protein Lane 1: Refolded tag-free A protein
Fig. B-1 (left figure): Inclusion body preparation and denaturation Lane 1: The supernatant after centrifugation Lane 2: The precipitation after centrifugation Lane 3: Inclusion bodies dissolved by urea Lane 4: Flow through Lane 5: Washed by imidazole containing urea Lane 6: Eluted by imidazole containing urea
Fig. B-2 (right figure): Refolded protein Lane 1 and 2: Refolded B fusion protein
Minimum 10-fold increase in protein expression level
GenScript provides fast, professional protein synthesis services at very reasonable prices. By making it cost-effective to outsource protein production, GenScript has made it possible for my lab to focus on our own area of expertise and get more research done. The detailed planning, updates, and reports that GenScript provides all of the quality control that one could ask for. I strongly recommend GenScript's protein production service.
— Dr. Barry Bradford, Kansas State University, USA
GenScript can provide soluble refolded protein with at least 85% purity from 1L expression system, based on total target protein comprising the aggregates. The refolded protein is delivered in customized buffer with the protein purity and identity data determined by Coomassie-stained gels and western blot analyses using Tag or the customer's designated protein-specific antibody (must be provided by the customer).