Westerm blot positive guaranteed with peptide antigen
A track record of hundreds of successful cases
GenScript has a unique antibody production technology. We intend to use this new service package: Western-GUARANTEED peptide polyclonal antibody package to satisfy your need for quality antibodies that generate positive Western blot results. Our confidence is backed up by our track record of having produced thousands of successful custom polyclonal antibodies with a success rate over 98%.
Our Western guarantee is possible because of proprietary OptimumAntigen design tool, nanotechnology, and proprietary immunization adjuvant. Full antibody production documentation including quality assurance comes with the delivery. GenScript's experienced and knowledgeable staff is there to help you with the antibody you need for your research.
For the Western-GUARANTEED Peptide Polyclonal Antibody Package (Rabbit), GenScript guarantees to deliver polyclonal antibodies which generate positive Western blot results with ELISA titer of 1:100,000 or better. Otherwise, we will restart the project free of charge until guarantees are met.
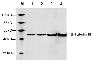
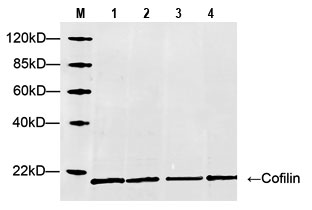
Shown below are Western blot results for endogenous protein detection